Tratamento de Gengivite Moderada

Tratamento de Gengivite Moderada - Casos Clínicos de tratamentos realizados pelo Centro Médico Dentário. Comprove as diferenças com fotos do Antes e Depois de cada caso.

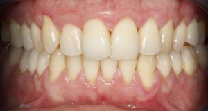
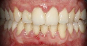
Tratamento de Gengivite Moderada

Veja o Antes e Depois deste caso clínico sobre Tratamento de Gengivite Moderada
Especialidades: Periodontologia

Anterior
Próximo - Tratamento de Gengivite Moderada
Aumentar Foto
Anterior
Próximo
Anterior - Tratamento de Gengivite Moderada
Aumentar Foto
Próximo

Ver Todos os Casos Clínicos
35 anos de experiência ao seu dispor

Devolvemos-lhe a alegria de sorrir novamente!

Marcar Consulta Ligue 229 376 497

Agende uma consulta online de forma simples e rápida!

Centro Médico Dentário

Facebook do Centro Medico Dentário Instagram do Centro Medico Dentário Canal YouTube do Centro Medico Dentário Dental Medical Group