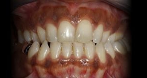
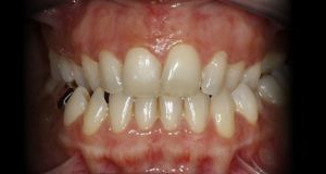
Veja o Antes e Depois deste caso clínico sobre Remoção de Pigmentação Gengival com Laser
Especialidades: Laser Waterlase, Estética Dentária
Devolvemos-lhe a alegria de sorrir novamente!
Marcar ConsultaAgende uma consulta online de forma simples e rápida!
