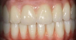
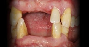
Veja o Antes e Depois deste caso clínico sobre Reabilitação Oral com Implantes Dentários em ambos maxilares
Especialidades: Implantes Dentários
Devolvemos-lhe a alegria de sorrir novamente!
Marcar ConsultaAgende uma consulta online de forma simples e rápida!
