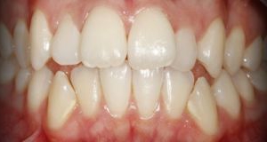
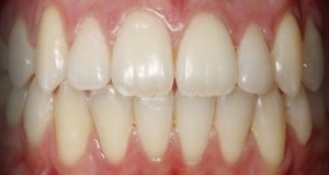
Veja o Antes e Depois deste caso clínico sobre Correcção Dentária com Ortodontia Fixa
Especialidades: Aparelho Dentário - Ortodontia
Devolvemos-lhe a alegria de sorrir novamente!
Marcar ConsultaAgende uma consulta online de forma simples e rápida!
