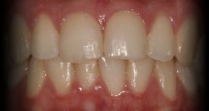
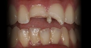
Correcção de Fracturas com Resina Composta

Correcção de Fracturas com Resina Composta - Casos Clínicos de tratamentos realizados pelo Centro Médico Dentário. Comprove as diferenças com fotos do Antes e Depois de cada caso.

Correcção de Fracturas com Resina Composta

Veja o Antes e Depois deste caso clínico sobre Correcção de Fracturas com Resina Composta
Especialidades: Dentisteria

Anterior
Próximo - Correcção de Fracturas com Resina Composta
Aumentar Foto
Anterior
Próximo
Anterior - Correcção de Fracturas com Resina Composta
Aumentar Foto
Próximo

Ver Todos os Casos Clínicos
35 anos de experiência ao seu dispor

Devolvemos-lhe a alegria de sorrir novamente!

Marcar Consulta Ligue 229 376 497

Agende uma consulta online de forma simples e rápida!

Centro Médico Dentário

Facebook do Centro Medico Dentário Instagram do Centro Medico Dentário Canal YouTube do Centro Medico Dentário Dental Medical Group