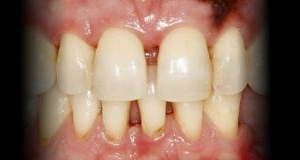
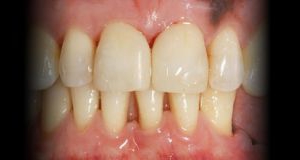
Veja o Antes e Depois deste caso clínico sobre Correcção de Diastema entre Centrais com Resina Composta
Especialidades: Estética Dentária, Dentisteria
Devolvemos-lhe a alegria de sorrir novamente!
Marcar ConsultaAgende uma consulta online de forma simples e rápida!
