Reabilitação com Dente Único Fixo sobre Implante

Reabilitação com Dente Único Fixo sobre Implante - Casos Clínicos de tratamentos realizados pelo Centro Médico Dentário. Comprove as diferenças com fotos do Antes e Depois de cada caso.

Reabilitação com Dente Único Fixo sobre Implante

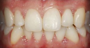
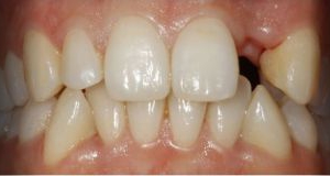
Veja o Antes e Depois deste caso clínico sobre Reabilitação com Dente Único Fixo sobre Implante
Especialidades: Implantes Dentários

Anterior
Próximo - Reabilitação com Dente Único Fixo sobre Implante
Aumentar Foto
Anterior
Próximo
Anterior - Reabilitação com Dente Único Fixo sobre Implante
Aumentar Foto
Próximo

Ver Todos os Casos Clínicos
35 anos de experiência ao seu dispor

Devolvemos-lhe a alegria de sorrir novamente!

Marcar Consulta Ligue 229 376 497

Agende uma consulta online de forma simples e rápida!

Centro Médico Dentário

Facebook do Centro Medico Dentário Instagram do Centro Medico Dentário Canal YouTube do Centro Medico Dentário Dental Medical Group