Casos Clínicos

Casos Clínicos de tratamentos realizados pelo Centro Médico Dentário. Comprove as diferenças com fotos do Antes e Depois de cada caso. (2)

Caso clínico sobre Periodontologia

Antes - Tratamento de Gengivite Moderada Depois - Tratamento de Gengivite Moderada

Caso clínico sobre Implantes Dentários

Antes - Reabilitação Oral com Implantes Dentários em ambos maxilares Depois - Reabilitação Oral com Implantes Dentários em ambos maxilares

Caso clínico sobre Implantes Dentários

Antes - Reabilitação Oral com Implantes Dentários em ambos maxilares (visão radiográfica) Depois - Reabilitação Oral com Implantes Dentários em ambos maxilares (visão radiográfica)

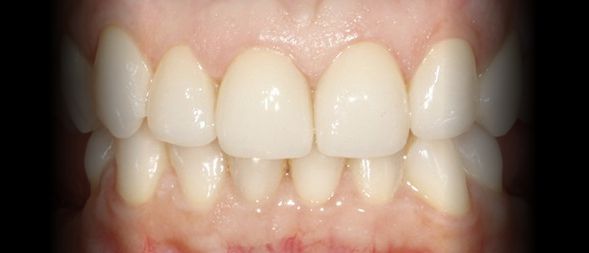
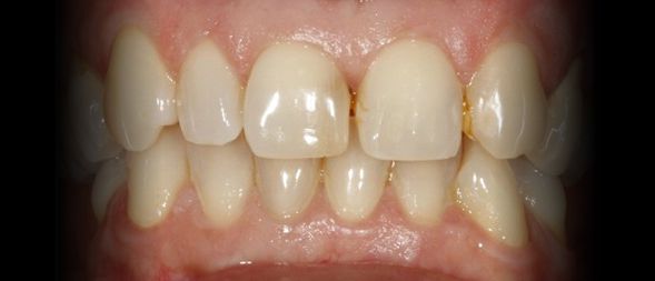
Caso clínico sobre Estética Dentária

Antes - Correção da estética dentária com Facetas em Cerâmica - sistema cerec Cad-cam Depois - Correção da estética dentária com Facetas em Cerâmica - sistema cerec Cad-cam

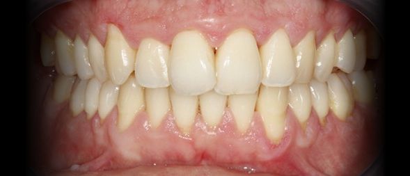
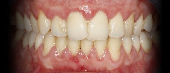
Caso clínico sobre Estética Dentária

Caso clínico sobre Estética Dentária

Caso clínico sobre Implantes Dentários

Veja também Tecnologias
Caso clínico sobre Estética Dentária

Veja também Tecnologias
Caso clínico sobre Estética Dentária

Veja também Tecnologias
Caso clínico sobre Estética Dentária

Página 2 de 3
35 anos de experiência ao seu dispor

Devolvemos-lhe a alegria de sorrir novamente!

Marcar Consulta Ligue 229 376 497

Agende uma consulta online de forma simples e rápida!

Centro Médico Dentário

Facebook do Centro Medico Dentário Instagram do Centro Medico Dentário Canal YouTube do Centro Medico Dentário Dental Medical Group