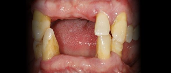
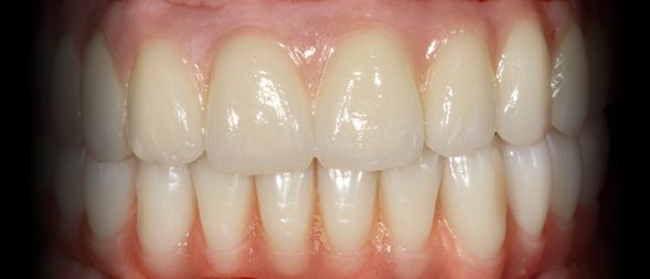
Caso clínico sobre Implantes Dentários

Caso clínico sobre Implantes Dentários

Caso clínico sobre Estética Dentária
Caso clínico sobre Estética Dentária
Caso clínico sobre Implantes Dentários
Devolvemos-lhe a alegria de sorrir novamente!
Marcar ConsultaAgende uma consulta online de forma simples e rápida!
