Vamos apresentar um caso de um paciente de cerca de 50 anos que sofreu um traumatismo dentário com consequente fratura completa da coroa do dente justa gengival. Após exame clinico e radiollógico traçou-se o plano de tratamento:
De salientar que a cimentação da coroa irá ser Adesiva respeitando o principio do Biomimetismo estrutural. Desta forma a peça cerãmica vai estar totalmente integrada no dente remanescente e no coto de compósito reconstruido, resultando num conjunto que vai funcionar como um todo perante a função.
Homem de cerca de 50 anos apresentando uma fratura dentária / coronária completa aós sofrer um traumatismo.

Dente pós- preparação com 1º fio de retração gengival; 2º fio de retração gengival( mais grosso); colocação de silicone light para registar todos os pormenores da preparação dentária, impressão final do dente com os dois tipos de silicone.

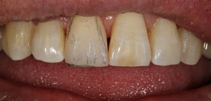
Prova da estrutura protética - Neste caso optou-se por uma cora de cerâmica total feldspática que irá ser aderida com um cimento resinoso ao coto do dente previamente reconstruido
Esta prova é muito importante para se aferir a estética, nas suas várias vertentes (forma, anatomia, textura e cor) e a função (forma como a peça se enquadra com os adjacentes e com os inferiores também).
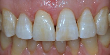
Coroa colocada e cimentada
Sorriso em perfeita Harmonia
Devolvemos-lhe a alegria de sorrir novamente!
Marcar ConsultaAgende uma consulta online de forma simples e rápida!
