Nos dias de hoje, a filosofia da Medicina Dentária moderna baseia-se num num principio fundamental: o biomimetismo.
Segundo este fundamento, na substituição das peças dentárias perdidas devemos utilizar materiais e técnicas que permitam criar resultados o mais parecidos possiveis com os dentes naturais.
A substituição de dentes anteriores perdidos sempre foi um dos tratamentos mais complexos na Medicina Dentária. A exigência estética é grande, as variações individuais são muitas e conseguir recuperar a forma, cor e função do dente perdido é uma tarefa, por vezes, complicada.
A utilzação de implantes para a substituição de dentes na zona anterior é, seguramente, a solução mais eficaz e com melhores resultados. Infelizmente, todos os implantologistas debatem-se com uma problema recorrente: a forma e cor dos pilares standarizados e metálicos levam, muitas vezes, a dificuldades estéticas e a resultados finais insatisfatórios.
Estes resultados indesejadospodem ser vários, tais como:
A utilização de zircónia em pilares de implantes tem vindo a aumentar na nossa prática clínica, pois é evidente a melhoria estética em relação aos pilares metálicos. O oxido de zirconia é uma cerâmica policristalina que nos permite realizar pilares com a máxima de resistência e durabilidade, desde que respeitadas as caracteristicas do material. Sendo um material de cor branca ou igual à cor do dente, a vantagem a nível estético é notória, permitindo usar coroas de cerâmica pura, eliminado, assim, a necessidade de recurso a estruturas metálicas tanto na coroa com no pilar.
A utilização de sistemas computadorizados para o desenho e confecção destes componentes para implantes individualizados permite-nos trabalhar com uma qualidade e excelência de resultados superior, evitando maioria dos problemas anteriormente referidos.
Com a ajuda de sistema como CEREC Inlab (Sirona), podemos fabricar pilares para implantes livre de metal e totalmente individualizados. Com a utilização destes pilares em zircónia individualizados, podemos recuperar a anatomia original da raíz e da coroa do dente, reproduzindo o perfil gengival original. Outra grande vantagem, baseia-se no fato de não usarmos metal, o que a nível estético traz inumeras vantagem, a curto e longo prazo.
CASO CLINICO

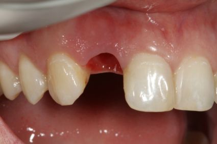
Fig. 1 - Implante dentário colocado em incisivo lateral há 3 meses atrás. Nesta imagem, a coroa temporária foi retirada para efectuarmos a impressão definitiva.

Fig. 2 -O pilar de zircónia e a coroa cerâmica definitiva são confeccionado recorrrendo à um sistema computadorizado (CAD-CAM) de alta precisão (Sirona Cerec In-Lab©)
a) -Desenho pilar com sistema Cerec InLab©
b) -Desenho da coroa com sistema Cerec InLab©

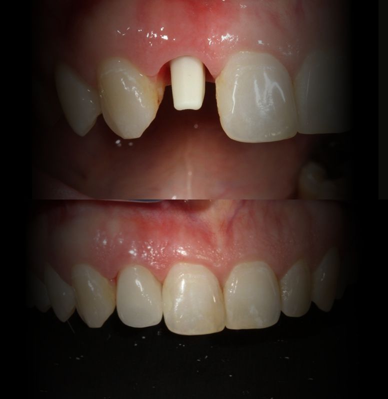
Fig.4 -Pilar de Zircónia e coroa de ceramica pura, note-se que a forma do pilar replica a forma da raíz do dente perdido

Transformação Final
Devolvemos-lhe a alegria de sorrir novamente!
Marcar ConsultaAgende uma consulta online de forma simples e rápida!
