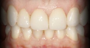
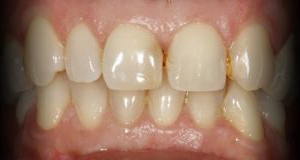
Veja o Antes e Depois deste caso clínico sobre Correção da estética dentária com Facetas em Cerâmica - sistema cerec Cad-cam
Especialidades: Estética Dentária, Estética Dentária

Devolvemos-lhe a alegria de sorrir novamente!
Marcar ConsultaAgende uma consulta online de forma simples e rápida!
