Veja o Antes e Depois deste caso clínico sobre Colocação Coroa Cerâmica Pura - Sistema Cerec
Especialidades: Estética Dentária, Estética Dentária
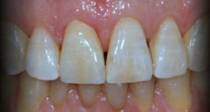
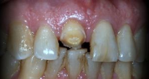
Reconstrução da coroa do dente central 11 com sistema cerec após fratura da coroa natural
Devolvemos-lhe a alegria de sorrir novamente!
Marcar ConsultaAgende uma consulta online de forma simples e rápida!
