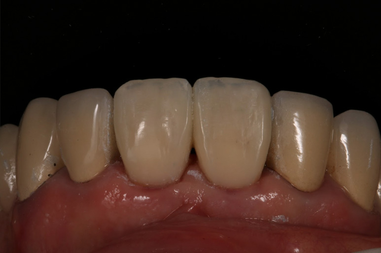
As facetas em resina composta são uma excelente alternativa às tradicionais facetas em cerâmica, porque a resina composta é um dos materiais mais versáteis da medicina dentária. Apresentam ótimas propriedades mecânicas e ópticas, conseguindo uma elevada capacidade de imitar o dente natural. Permitem em muitos casos ter a abordagem menos invasiva.
Para ser candidato a este tipo de tratamento (facetas), é necessária apenas uma consulta dentária, exceptuando os casos em que é necessário efetuar algum estudo prévio. Nesse caso, dependerá da análise efetuada.
Os estudos apontam para uma taxa média de vida das restaurações a rondar os 10 anos. Dessa forma, conseguimos assegurar que estatisticamente, é uma opção bastante interessante no processo de recuperação dentária.
As facetas em resina composta são tratamentos feitos no momento pelo seu médico dentista. De modo a conseguir reproduzir o melhor resultado possível, será necessário colocar várias camadas, de diferentes cores, em diferentes espessuras, para garantir o melhor resultado final.
Tal como os cuidados com os seus dentes é regular, nas facetas, apesar de mais espaçado, deverá comparecer numa consulta anual no seu dentista para polimento das mesmas, para aumentar a longevidade.
Embora seja uma situação pouco frequente, poderá acontecer em casos de traumas. Contudo, atualmente, é possível reparar facilmente a faceta, devolvendo a estrutura perdida.

Devolvemos-lhe a alegria de sorrir novamente!
Marcar ConsultaAgende uma consulta online de forma simples e rápida!

